Radiology Images


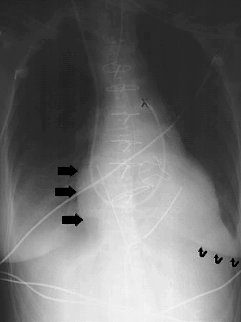
Thorax - Chest Valves and Catheter