Radiology Images


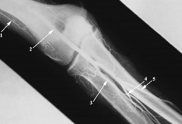
Upper Limbs: Elbow Collateral Vessels:
  1. Radial Colleteral Artery
  2. Brachial Artery
  3. Radial Artery
  4. Common Interosseous Artery
  5. Ulnar Artery.