Radiology Images


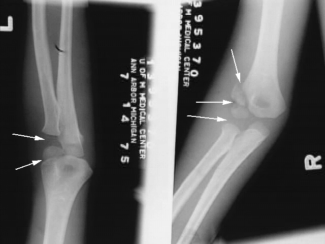
Upper Limbs: Elbow Dislocation:
  1. Left: Arrows: Fractured Head of the Radius
  2. Right Arrows: Fractured Capitellum and Lateral Epicondyle.