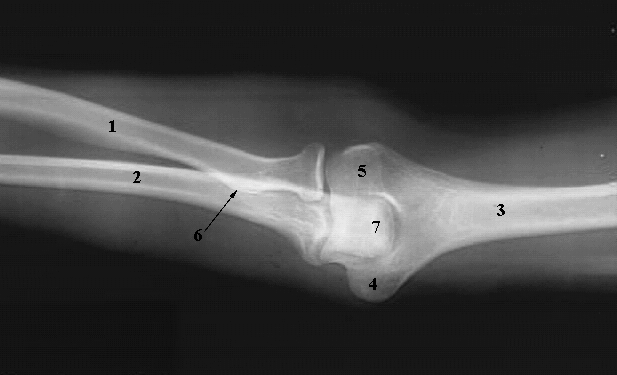
Radiology Images


Upper Limbs: Elbow Extended:
  1. Radial Shaft
  2. Ulnar Shaft
  3. Humeral Shaft
  4. Medial Epicondyle
  5. Lateral Epicondyle
  6. Radial Tuberosity
  7. Olecranon Process of the Ulna.