Radiology Images


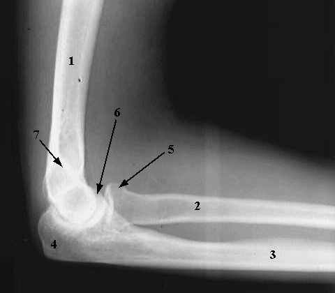
Upper Limbs: Elbow Flexed:
  1. Humeral Shaft
  2. Radial Shaft
  3. Ulnar Shaft
  4. Olecranon Process
  5. Head of the Radius
  6. Coronoid Process of the Ulna
  7. Medial Supracondylar ridge.