Radiology Images


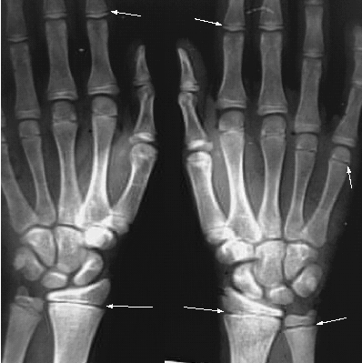
Upper Limbs:Growth Plates:
    Arrows: Growth Plates of Radius, Ulna , Metacarpal Bones and Phalanges.