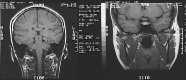
Radiology Images


Head & Neck: Head MRI 2 of 3: