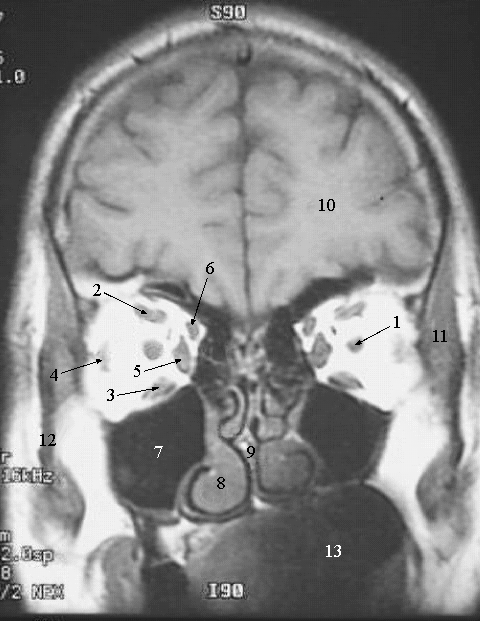
Radiology Images


Head & Neck: Head MRI Coronal:
  1. Optic nerve
  2. Superior Rectus Muscle
  3. Inferior Oblique Muscle
  4. Lateral rectus muscle
  5. Medial Rectus Muscle
  6. Superior Oblique Muscle (belly)
  7. Maxillary Air Sinus
  8. Inferior Nasal Concha
  9. Nasal Septum
  10. Brain
  11. Temporal Muscles
  12. Ramus of Mandible
  13. Oral Cavity.