Radiology Images


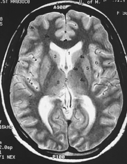
Head & Neck: Head MRI Internal Capsules:
  1. Lateral ventricle
  2. Third ventricle
  3. Caudate nucleus
  4. a. Anterior limb of internal capsule
    b. Genu of internal capsule
    c. Posterior limb of internal capsule
  5. Lentiform nucleus
  6. Insula
  7. Insular artery
  8. Thalamus
  9. a. White matter
    b. Gray matter