 |
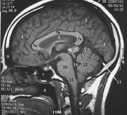
- Frontal Lobe
- Parietal Lobe
- Occipital Lobe
- Septum Pellucidum
- a. Rostrum of Corpus Callosum.
b. Body of Corpus Callosum.
c. Splenium of Corpus Callosum.
- Pituitry
- Sphenoid air sinus
- Nasopharynx
- Frontal Air sinus
- Pons
- Medulla Oblongata
- Cerebellum
- Spinal Cord
- Fourth ventricle
- Sinus Confluence.
|