Radiology Images


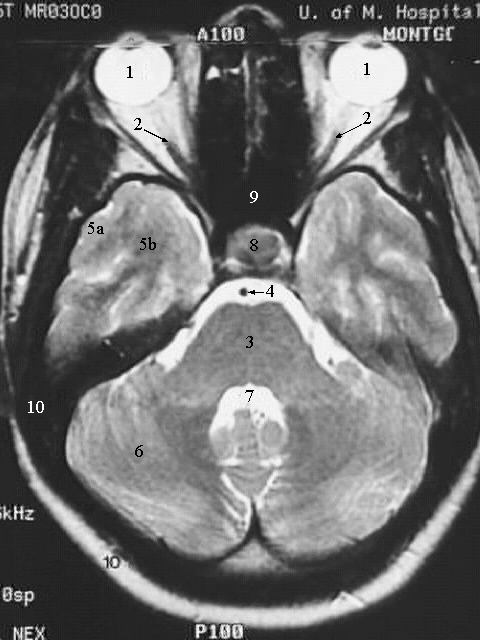
Head & Neck: Head MRI Pons:
  1. Eyeball
  2. Optic nerve
  3. Pons
  4. Basilar artery
  5. a. Temporal lobe gray matter.
    b. Temporal lobe white matter.
  6. Cerebellum
  7. Fourth ventricle
  8. Hypophysis
  9. Sphenoid air sinus
  10. Temporal bone and scalp.