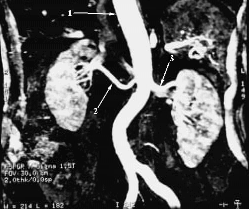
Radiology Images


Abdomen - Kidney MR Angiogram
  1. Abdominal Aorta
  2. Right Renal Artery
  3. Left Renal Artery