Radiology Images


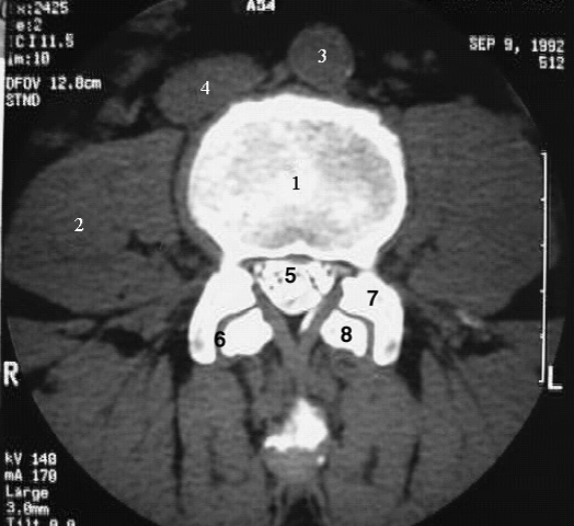
Back-L3 CT after myelography:
  1. Vertebral body
  2. Psoas major
  3. Aorta
  4. Inferior vena cava
  5. Nerve rootlets of cauda equina
  6. Facet joint
  7. Superior articular process
  8. Inferior articular process.