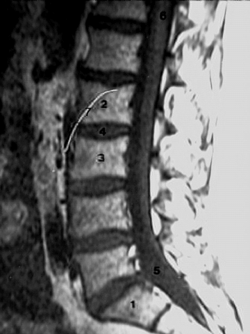
Radiology Images


Back- Lumbar Spine MRI zoom
  1. First sacral vertebra
  2. Body of the 2nd lumbar vertebra
  3. Body of the 3rd lumbar vertebra
  4. Intervertebral disc
  5. Lumbar cistern
  6. Spinal cord
  7. Artifact.