Radiology Images


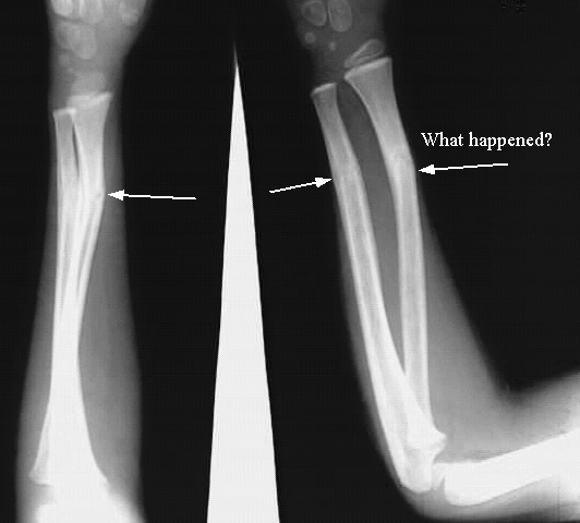
Upper Limbs:Radius & Ulna Fracture:
    Arrows: Fractured Lower shafts of Radius & Ulna.