Radiology Images


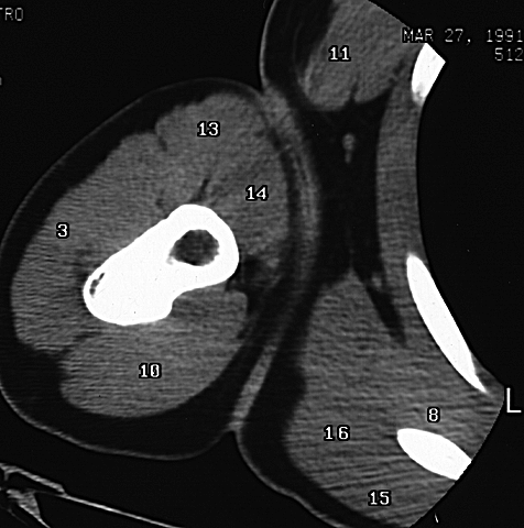
Shoulder CT 5
    3. Deltoid m.
    8. Subscapularis m.
    10. Triceps m.
    11. Pectoralis major m.
    13. Biceps M. - long head
    14. Biceps m. - short head
    15. Teres major m.
    16. Latissimus dorsi m.