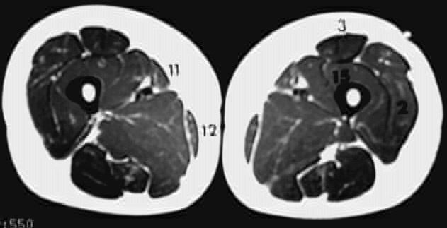
Radiology Images


Lower Limbs: Thigh Cross Zoom 1 of 2