Radiology Images


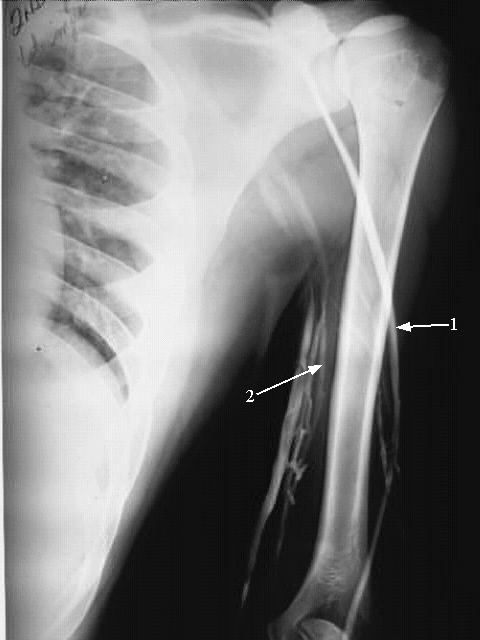
Upper Limbs:Upper Limb Venogram:
  1. Cephalic Vein
  2. Basilic Vein.