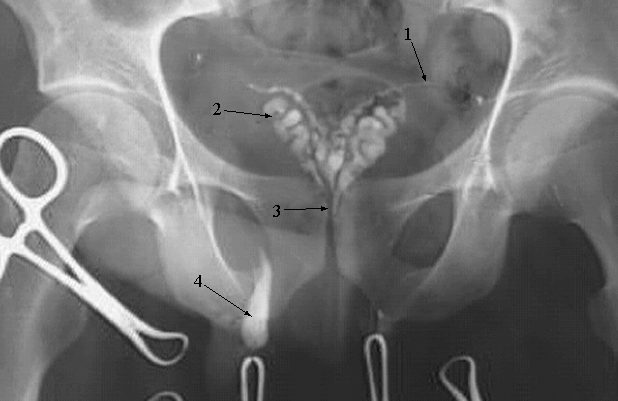
Radiology Images


Pelvis & Perineum: Vasogram:
  1. Ductus Deferens
  2. Seminal Vesicle
  3. Prostatic Urethra
  4. Extravasation of contrast material