Radiology Images


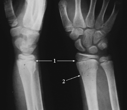
Upper Limbs:Wrist Colles Fracture:
  1. Radial Growth Plate
  2. Fracture Site at the Lower end of the Radius.