 |
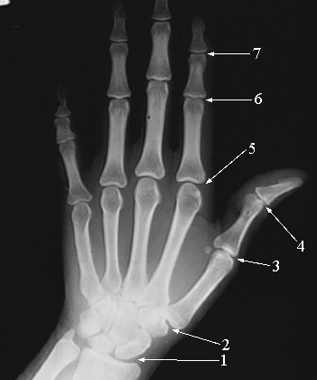
- Joint Between Radius and Navicular (Scaphoid) bones (Radiocarpal Joint)
- Joint Between Trapezium and First Metcarpal Bones (carpometacarpal Joint)
- First Metacarpophalangeal Joint
- Interphalangeal Joint of the Thumb
- Second metacarpo-phallangeal joint
- Proximal inter-phallangeal joint
- Distal inter-phallangeal joint.
|