Radiology Images


Upper Limbs: X-ray Two Views:
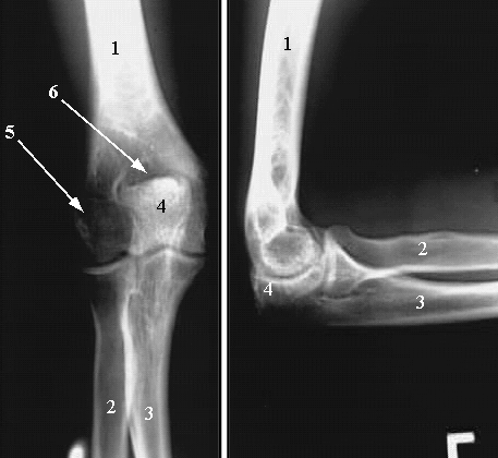
    Left View:
  1. Humerus
  2. Radius
  3. Ulna
  4. Olecranon Process of the Ulna
  5. Leteral Epicondyle
  6. Olecranon Fossa.
    Right View:
  1. Humerus
  2. Radius
  3. Ulna
  4. Olecranon process.