Clinical Cases - Axilla, Posterior Shoulder, & Arm

A 55-year-old woman was submitted to surgery to remove her left breast, in which a malignant tumor had been found. Following the mastectomy, her recovery proceeded well, except that she noticed that she was experiencing weakness in her left shoulder and had considerable difficulty raising her left arm above her head, even two months after her surgery. Her husband also noticed that her left scapula seemed to protrude posteriorly (a "winged" scapula) to a greater extent than the one on her right side. Concerned, she went to see her doctor. She was referred to a neurologist, who performed electromyography (EMG) and nerve conduction studies to determine the source of the weakness.

Questions to consider:
  1. Given the symptoms described above, what muscle was affected? Which nerve innervates that muscle?
    The muscle affected was the serratus anterior. This muscle is innervated by the long thoracic nerve.
  2. How do you think the weakness in that muscle came about?
    The weakness of the serratus anterior muscle was likely iatrogenic (induced by medical treatment). In the process of performing the mastectomy, the surgeon probably damaged the long thoracic nerve, which is particularly vulnerable due to its location on the superficial side of the serratus anterior as it proceeds down the thoracic wall.
  3. The affected nerve is a branch in the region of the brachial plexus. Where does it originate?
    The long thoracic nerve is formed by the confluence of branches from nerve roots C5-7, which later form the superior and middle trunks of the brachial plexus.
  4. Why did this woman have difficulty raising her arm above her head?
    The patient was unable to raise her arm above her head because the weakness of her left serratus anterior muscle made lateral rotation of the scapula very difficult, if not impossible. Without scapular rotation, she would be unable to abduct her arm much more than 90° or so. Ordinarily, the lower fibers of the serratus anterior and the upper fibers of the trapezius produce lateral rotation of the scapula.
  5. The strength of the muscle affected in this case is often tested by having the patient press forward against a wall with both hands simultaneously. What movement of the scapula is being tested via this maneuver and what muscles contribute to that movement?
    The movement being tested in this maneuver is protraction of the scapula. This movement is produced by the actions of both the serratus anterior and pectoralis minor muscles. Winging of the scapula during this maneuver is generally associated with weakness of the serratus anterior.

You were asked to assess the case of a 45-year-old overweight man who presented to the outpatient room with a three-week history of weakness in extending his left elbow and wrist, with loss of sensation over the dorsum of the forearm and posterior aspect of first interdigital cleft. The patient has been using a single axillary crutch on the left side to assist in walking following trauma to his left foot. You examine him neurologically and confirm the case as that of radial nerve palsy following compression by the crutch.

Questions to consider:
  1. Describe the course of the radial nerve in the arm. Which group of muscles in the arm will be affected in radial nerve palsy?
    After leaving the axilla, the nerve passes backwards, downwards and laterally, spiraling around the shaft of the humerus in the radial groove. It enters the region between the upper part of the medial head and the long head of the triceps brachii muscle and is then sandwiched between the medial and lateral heads. For a part of its course it is directly in contact with the bone, and here it is vulnerable in fractures of the shaft. It pierces the lateral intermuscular septum so that it comes to lie in front of the lower end of the humerus and is therefore lateral to brachialis, and medial to two muscles of the forearm (brachioradialis and extensor carpi radialis longus).

    Muscle groups supplied by the radial nerve: Extensor muscles of the arm (three heads of the triceps); near the lateral epicondyle, it supplies anconeus, brachioradialis, and extensor carpi radialis longus muscles.
  2. Why would a patient with wrist-drop resulting from radial nerve injury be unable to perform a power grip?
    If the extensors are paralyzed by a radial nerve injury, a power grip becomes impossible because the wrist flexes as well as the fingers, so the fingers are pulled open by the relative shortness of the extensors (try gripping with your wrist fully flexed). Also, muscle fibers can only contract by a fixed percentage of the resting length. So you need an extended wrist to allow sufficient shortening force supplied to the fingers (not wrist).
  3. What type of treatment might you suggest for this patient?
    Change crutch type and begin physiotherapy.

L.P., a 21-year-old collegiate swimmer, went to visit her doctor complaining of shoulder pain and a reduced range of motion in the shoulder joint. On examination, L.P. was able to achieve about 165° of shoulder flexion/elevation, with pain near the end of that range. During abduction, pain was demonstrated between about 70° and 120°, after which the patient did not feel pain. Shoulder abduction against resistance yielded pain only during the first 35° of movement. All other resisted movements were pain-free. Palpation of the shoulder only produced pain on the superior surface of the greater tubercle of the humerus. Pressure at this location also produced pain that radiated down the lateral side of L.P.'s arm. The physician told L.P. that she had tendonitis in her rotator cuff and prescribed anti-inflammatory medication, ultrasound therapy, and rest.

Questions to consider:
  1. What muscles, along with their tendons, compose the rotator cuff? Where do these muscles insert?
    The muscles of the rotator cuff are as follows:
    • Supraspinatus: inserts into the upper facet of the greater tubercle of the humerus and into the capsule of the shoulder joint.
    • Infraspinatus: inserts into the middle facet of the greater tubercle of the humerus and into the capsule of the shoulder joint.
    • Teres minor: inserts into the lower facet of the greater tubercle of the humerus and into the capsule of the shoulder joint.
    • Subscapularis: inserts onto the lesser tubercle of the humerus.
  2. Based on the information above, which tendon specifically was inflamed?
    The information given indicates that the supraspinatus tendon is inflamed. The results of the motion tests, and especially the location of pain on palpation, are the key indicators suggesting supraspinatus tendonitis.
  3. Why did the pain radiate down the patient's arm?
    The supraspinatus muscle is innervated by the suprascapular nerve, which contains nerve fibers from C5. The lateral surface of the arm contains part of the C5 dermatome; thus, the pain on the lateral side of L.P.'s arm was likely referred pain.
  4. When the arm was abducted without resistance, pain was felt between 70° and 120° of abduction; however, abduction against resistance produced pain only during the first 35°. How would you explain this?
    The pain from abduction against resistance results directly from the action of the supraspinatus muscle, which initiates abduction. The pain felt between 70° and 120° with no resistance is probably due to compression of the supraspinatus tendon between the greater tubercle of the humerus and the acromion process.
  5. When abducting the arm fully through 180°, how much of the elevation is due to movement of the glenohumeral (shoulder) joint, and how much is due to rotation of the scapula?
    Abduction of the arm is actually a fairly complex process. During the first 30° of abduction, only the glenohumeral joint is in motion, caused first by the supraspinatus primarily (0°-15°) and then by the deltoid. From about 30° to 120°, both the glenohumeral joint and the scapula are moving such that for every 3° of abduction, 2° are contributed by glenohumeral movement and 1° by scapular rotation. From 120° to 180°, abduction results exclusively from rotation of the scapula (the greater tubercle of the humerus bumps against the acromion at about 120°).

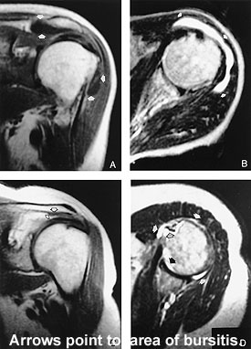
A 55-year-old housemaid complained to her doctor of pain at the tip of the right shoulder. It started a few weeks ago with no predisposing trauma. It is worse at the initial stage of abducting her right arm, or when she is carrying a heavy object like a full bucket. The doctor examined her and confirmed the painful abduction of the right shoulder. There was no obvious abnormality on the plain radiograph of the region. The doctor diagnosed subacromial bursitis and recommended rest and analgesics.

Questions to consider:
  1. What is the anatomical relationship between the subacromial bursitis and the pain during abduction?
    The supraspinatus muscle tendon is separated from the coracoacromial ligament, the acromion, and the deltoid muscle by the subacromial bursa. When this bursa is inflamed, abduction of the arm will be painful.
  2. What muscles are involved in full abduction of the shoulder? Why was the pain worse at the initial stage of abduction?
    Supraspinatus and deltoid muscles move the arm to about 90° from the side of the body. No further abduction is produced at the shoulder joint. Lateral rotation of the humerus will provide slight further abduction. Considerably more abduction is achieved through scapular rotation.
  3. What is the role of the rotator cuff muscles?
    The rotator cuff holds the head of the humerus in the glenoid cavity of the scapula.